← Назад на главную

L(+) LIFT® — безопасная формула полимолочной кислоты. Данные гистологического исследования

1 минута чтения
Главная / Статьи / L(+) LIFT® — безопасная формула полимолочной кислоты. Данные гистологического исследования
Ячменева Елена Станиславовна
Врач-дерматолог, косметолог высшей категории, член Европейской ассоциации тредлифтинга, сертифицированный тренер по нитевым технологиям, контурной пластике и ботулинотерапии, медицинский советник компании «Микроген», Москва.
Содержание
Исследование L(+) LIFT®

Введение

На сегодня насчитывается более 500 теорий старения человеческого организма [1], и все они признают многофакторность данного процесса и связанные с ним структурные изменения кожи и подлежащих тканей. Эпидермальная дисфункция, снижение функциональной активности клеток и дезорганизация внеклеточного матрикса дермы [2], атрофия и дезорганизация жировых пакетов, их смещение, ослабление связок, резорбция хрящевых и костных структур, гипертонус мышц-депрессоров приводят к появлению на лице складок, борозд, зон депрессии, птозу мягких тканей, изменению контуров лица и шеи [3]. Основной причиной этого является прогрессивное снижение содержания основных структурных элементов внеклеточного матрикса (коллагена, эластина, гликозаминогликанов) и изменение их характеристик [4]. Одной из наиболее безопасных и эффективных малоинвазивных эстетических процедур является использование различных биостимуляторов синтеза коллагена. Их эффективное применение с целью улучшения качества кожи лица способствует развитию новой тенденции, направленной на коррекцию различных областей тела. Стимуляторы коллагена, изначально разработанные для восстановления дефицита объемов лица, обладают хорошим профилем безопасности и эффективности, что позволяет использовать их для решения различных косметологических проблем, таких как потеря объема, дряблость кожи, липодистрофия, стрии и морщины [5].

По результатам глобального опроса, ежегодно проводимого Международным обществом эстетической пластической хирургии (ISAPS), число нехирургических процедур, выполненных в 2020 г., составило 14400347 случаев. Из них большую часть (10610748 случаев – 73,7%) занимали инъекционные методы. При этом за период с 2016 по 2020 г. наиболее существенное увеличение продемонстрировали методы инъекционной коллагеностимуляции: число процедур с применением гидроксиапатита кальция увеличилось на 35,1%, а с применением препаратов полимолочной кислоты – на 52% [6]. Таким образом, одним из наиболее перспективных и развивающихся направлений инъекционной косметологии является имплантация препа

Функции молочной кислоты и ее полимера в организме, применение в медицине

В нашем организме молочная кислота (лактид, 2-гидроксипропановая кислота, LA) образуется постоянно и участвует во многих обменных процессах. Молочная кислота служит энергетическим субстратом и оказывает влияние на метаболическую функцию клеток. Из-за своего небольшого размера она может проникать через липидную мембрану клеток посредством челночной системы белков-транспортеров монокарбоксилатов, или «лактатных челноков». Последние исследования показывают, что лактат служит ключевым компонентом обменных процессов, он образуется и непрерывно используется в различных клетках.

Также было показано, что полимолочная кислота обладает антиоксидантными свойствами, которые могут служить для защиты клеток от повреждения, вызванного свободными радикалами. Оказывая влияние на регуляцию окислительно-восстановительного потенциала клеток, аллостерического связывания и перепрограммирования хроматина путем лактилирования остатков лизина на гистонах, лактат играет большую роль в распределении энергии в клетках, выполняя метаболические и регуляторные функции. Считается, что изменение концентрации лактата в ткани оказывает быстрое и значительное воздействие на окислительно-восстановительный потенциал клеток и другие системы контроля [7].

Важной особенностью L-формы полилактида является безопасность и прогнозируемая биодеградация в биологических тканях. Первоначально полимолочная кислота применялась в медицине в виде хирургических нитей, фиксационных стержней и костных штифтов, впоследствии области ее применения значительно расширились. В косметологии инъекционные имплантаты на основе L-формы полилактида применяются около 20 лет, и в настоящее время накоплен большой опыт эффективного и безопасного их использования [8].

По сравнению с традиционными дермальными наполнителями имплантаты на основе полимолочной кислоты обладают эффектом биологической стимуляции, усиливая синтез эндогенного коллагена и активизируя работу дермальных фибробластов после инъекции. Стимулирующее влияние PLA достаточно выражено и сохраняется в течение двух и более лет [7].

Важные характеристики препаратов на основе полимолочной кислоты, обусловливающие их качество

В составе всех известных зарегистрированных на территории РФ препаратов полимолочной кислоты, используемой в косметологии, находится синтетический полимер из группы альфа-оксикислот, биосовместимый, биодеградируемый и полностью элиминирующийся из организма. Но, хотя действующее вещество практически одно, а процесс производства разный, свойства полимеров отличаются друг от друга, что неизбежно влияет как на практическую составляющую применения продукта, так и на конечный клинический результат.

На выраженность и длительность биологического ответа со стороны кожи и ПЖК на имплантируемый материал из PLA влияет ряд факторов: состав полимера – лево- или правовращающийся изомер, молекулярная масса молекулы, размеры микрочастиц, качество рабочей суспензии, область и глубина имплантации.

Изделия, выполненные из полиL-молочной кислоты, подвергаются длительному ферментативному гидролизу в биологических тканях, продолжительность которого может достигать, по разным литературным данным, от 24 месяцев до 7 лет. Это означает, что время эффективного действия будет соответствовать времени полной биодеградации. Биологический ответ тканей на имплантацию микрочастиц полимолочной кислоты представляет собой два параллельно протекающих процесса: субклиническое воспаление и реакция на инородное тело.

Важным параметром является соотношение микрочастиц разного размера. Эффективными и безопасными считаются частицы размером от 30 до 70 мкм. Большое значение для качества рабочей суспензии имеет способ ее приготовления. Для восстановления сухого вещества PLLA используется стерильная вода для инъекций и лидокаин. Нарушение правил приготовления суспензии может привести к преципитации микрочастиц, что делает препарат непригодным для применения [12].

Препарат L(+) LIFT®: формула, позволяющая добиться максимальной эффективности и качества

Компания SNA представила новый продукт полимолочной кислоты с усовершенствованной формулой L(+) LIFT® (РЗН 2023/20054 от 14 апреля 2023 г.) (рис. 1).

Препарат L(+) LIFT®
Рис. 1. Препарат L(+) LIFT®

Он производится компанией PINE BM – крупнейшим концерном в Южной Корее по производству материалов и изделий для пластической хирургии и косметологии. Продукция Pine BM известна своим качеством и экспортируется в более чем 30 стран мира. В состав изделия входит только левовращающийся изомер молочной кислоты – 250 мг и 500 мг, натрия карбоксиметилцеллюлоза – 57,5 (115) мг.

Идеальная сферическая форма микрочастиц оптимального размера 30–60 мкм и молекулярной массы 200 000–280 000 Да (рис. 2).

Частицы препарата L(+) LIFT®
Рис. 2. Частицы препарата L(+) LIFT®

Время приготовления рабочей суспензии сокращено до 15 минут, при этом мы получаем стабильный гелеобразный раствор со сроком хранения 72 часа, который не выпадает в осадок (рис. 3).

Стабильный водно-гелевый раствор
Рис. 3. Стабильный водно-гелевый раствор препарата L(+) LIFT®

Актуальность исследования

В настоящее время имеется очень мало публикаций по изучению гистологического ответа тканей на имплантацию полимолочной кислоты. Поэтому компанией SNA Beauty было инициировано гистологическое исследование на кроликах с целью исследования гистопатологических реакций на имплантат препарат L(+) LIFT® 500 мг, имплантированный в мышцу кролика на срок 90 дней в соответствии с ISO 10993-6.

Материалы и методы

Клиническое исследование проводилось на базе лаборатории компании Pine BM Co., LTD., Республика Корея. Испытание проводили методом имплантации трансплантата на 9 новозеландских кроликах-альбиносах, самцах. Животных выводили из опыта путем передозировки эфирного наркоза через 4, 12 и 26 недель.

Животные были осмотрены через 24, 48 и 72 часа. Никаких изменений, связанных с наличием исследуемого образца, выявлено не было.

Таблица 1
Таблица 1. Фотографии мест имплантации при вскрытии

Результаты

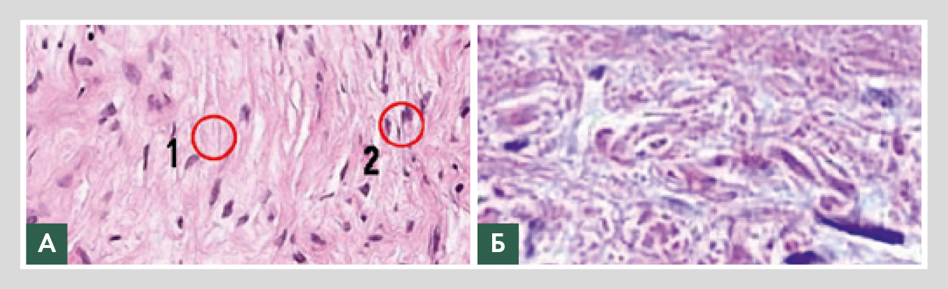
Через 4 недели наблюдалась слабовыраженная воспалительная продуктивная реакция, вокруг микросфер полимолочной кислоты формируется фиброзная капсула. Контрольная сторона без признаков воспаления (рис. 4).

Рис. 4
Рис. 4. Участок гиподермы кролика, исследуемый образец через 4 недели

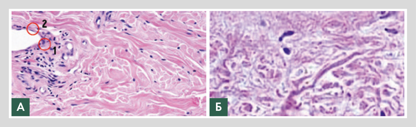
Через 12 недель наблюдались азурофильные дольки, новообразованные сосуды и разрастание коллагеновых волокон (рис. 5).

Рис. 5
Рис. 5. Участок гиподермы кролика, исследуемый образец через 12 недель

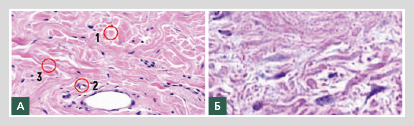
Через 26 недель коллагеновые волокна хорошо дифференцировались, волокнистый компонент преобладал над клетками фибробластического ряда (рис. 6).

Рис. 6
Рис. 6. Участок гиподермы кролика, исследуемый образец через 26 недель
Таблица 2
Таблица 2. Макроскопические данные о местах имплантации у кроликов
Таблица 2 (продолжение)
Таблица 2 (продолжение)

И в заключение

Получены объективные данные стимулирующего действия PLLA L(+) LIFT® на пролиферацию фибробластов и синтез коллагена посредством индуцирования воспалительного ответа с минимальным риском возникновения иммунных реакций. Исследуемый продукт удовлетворяет требованиям стандарта UNI EN ISO 10993-6:2004 и может быть рекомендован к практике врачам-косметологам в качестве коллагеностимулирующей терапии дермы и ПЖК.

Оригинальный препарат L(+) LIFT в вашем регионе
Препарат L(+) LIFT представлен в дистрибьюторской сети SNA Beauty по всей территории РФ и ближнему зарубежью
Оставьте заявку и мы свяжемся с вами!
Благодарим за заявку
В ближайшее время с вами свяжется менеджер
ЗАКАЗАТЬ L(+) LIFT®
Выберите способ связи